Posts

Showing posts from December, 2022

🚨Precision Cuts vs. Buttons: Making the Right Choice in Aligner Therapy🚨

Image
  🚨Precision Cuts vs. Buttons: Making the Right Choice in Aligner Therapy🚨 As an orthodontist working with both fixed appliances and aligners, one of the most common clinical decisions faced is: When precision cuts and buttons should be used ? Through understanding of the fundementals of biomechanics in orthodontics, this comparison might help you in your cases: Buttons - ✓ The preferred choice for Class II correction and deep bite cases ✓ Particularly effective for preventing unwanted retroclination ✓ Patient-friendly with no additional bonding required ✓ Biomechanical insight: Functions similarly to applying elastics on rectangular heavy wires in fixed appliances, offering excellent torque control and equally distibuted forces. Precision cuts- ✓ For combined movements: extrusions, rotations, and significant root control ✓ Requires bonding (which can be a patient compliance consideration) ✓ Delivers direct force application when needed ✓ Biomechanical ...

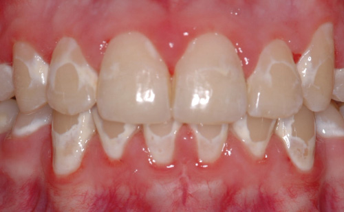
Decalcification And Caries Associated With Orthodontic Treatment

Image
if you are intersted in this article please follow for more readings https://myorthodonticsblogg.blogspot.com/     👈🏻 Enamel demineralization is a common negative consequence of orthodontic treatment in the absence of appropriate oral hygiene maintenance. It is the loss of calcified tooth substance due to the attack by acidic-by-products of plaque metabolism. An early recognition is sentient to prevent permanent damage. Occurrences during active treatment necessitate a shortened treatment plan or in severe cases; early termination of treatment. The increase in food stagnation and increase in the retentive sites of bacteria lead to a change in the microflora (low Ph environment). Decalcification may occur within one month due to : Prolonged accumulation of plaque next to the bracket . White Spot Lesions caused by the decalcification process can be distinguished from the developmental hypocalcified lesions on the basis of location, shape, and dimensional stability with ti...

Orthodontic Iatrogenic Damage To The Periodontium

Image
  if you are intersted in this article please follow for more readings https://myorthodonticsblogg.blogspot.com/     👈🏻 1. Periodontal disease and orthodontic treatment : Periodontal disease includes gingivitis, alveolar bone loss (periodontitis), and loss of attached gingival support. The periodontal reaction toward orthodontic appliances depends on multiple factors, such as: - Host resistance - The presence of systemic conditions - The amount and composition of dental plaque. - Lifestyle factors, including smoking, can also compromise periodontal support and the negative effects of uncontrolled diabetes on periodontal support.  Bacteria present in dental plaque are the primary causative agent of periodontal disease . Orthodontic treatment with fixed appliances is known to induce an increase in the volume of dental plaque. However, fixed orthodontic appliances cause a shift in the type of bacteria . Therefore, fixed orthodontic treatment may result in localiz...

Thermoformed vs 3D Printed Aligners

Image
  if you are intersted in this article please follow for more readings https://myorthodonticsblogg.blogspot.com/     👈🏻 Jindal et al. 2019 presented a successfully 3D printed 0.75 mm thick clear aligner using Dental Long Term (LT) clear resin and compared its mechanical and geometrical properties to a conventionally manufactured thermoformed Duran clear dental aligners.  Dental Long Term (LT) clear resin and compared its mechanical and geometrical  properties to a conventionally manufactured thermoformed Duran clear dental aligners .  It  was suggested that 3D printed resin-cured clear dental aligners are more suitable because they have better geometric accuracy and mechanical resistance. In early 2018, EnvisionTEC Inc. announced launch of E-Ortholign, a new material for the direct 3D printing of clear thermoformed aligners . This clear resin is marketed as biocompatible, stable, flexible and strong material for the direct 3D printing of esthet...

Popular posts from this blog

Understanding Orthodontic Case Complexity for Aligner Treatment Success

Gable Bend in Orthodontic Aligners: Concept and Application

Arch wire sequencing in Orthdontics